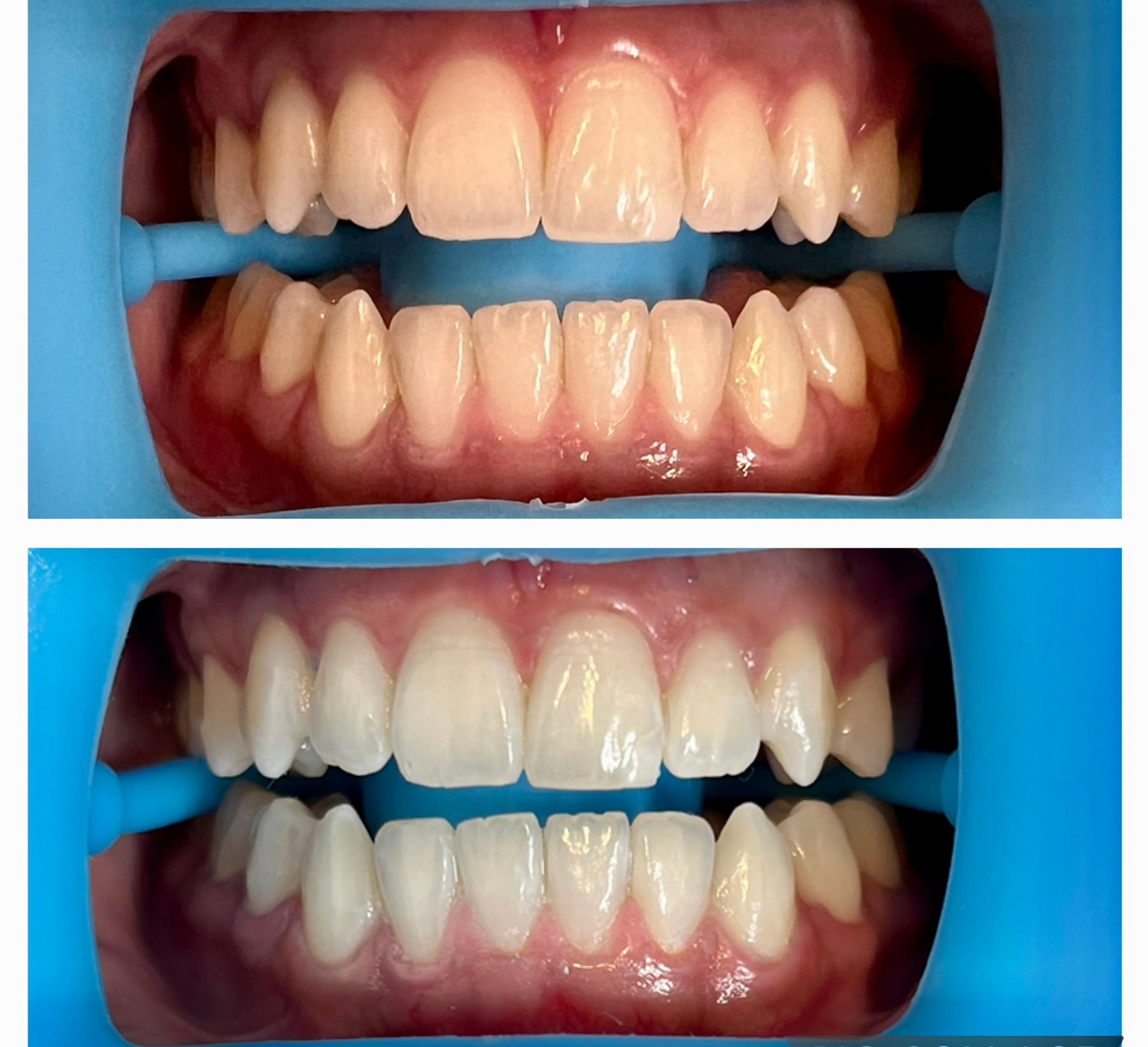
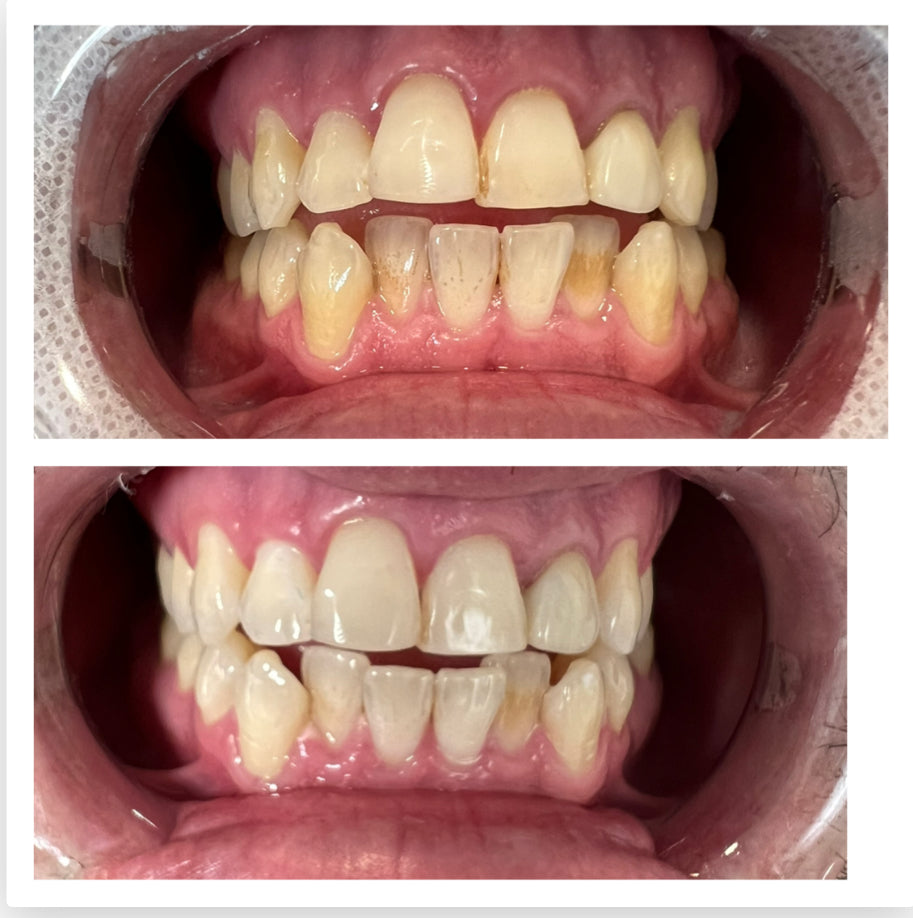
Welcome to Lighter Brighter Smiles
Real people with real results
We’re here to make your experience relaxing, safe and effective- because everyone deserves a lighter, brighter smile.