What To Know Before Your Session
✨ What To Know Before Your Session
Thinking about getting your teeth whitened? Here’s everything you should know before booking your treatment with Lighter Brighter Smiles.
🦷 How It Works
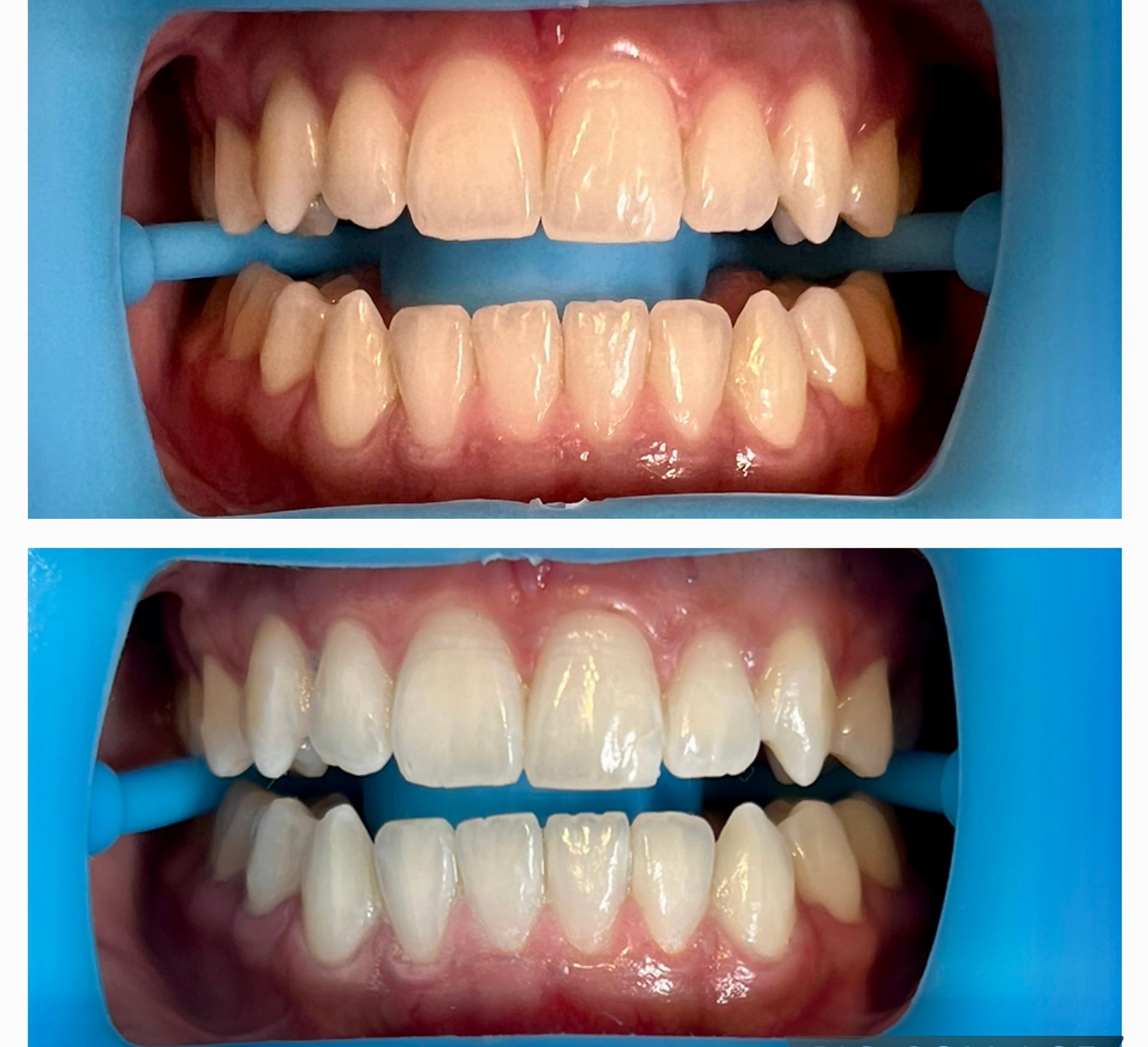
We use a high-concentration hydrogen peroxide gel, activated with a professional LED light system. This gently breaks down stains on the tooth surface, lifting years of discolouration caused by coffee, wine, smoking, and everyday life.
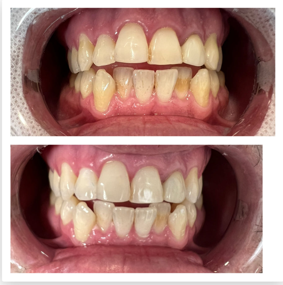
Our signature triple-session treatment is completed in one appointment and can lift your teeth between 4 to 12 shades lighter, depending on your natural enamel and stain level.
🛋️ What to Expect During Your Appointment
- The session takes around 1.5 hours
- You’ll relax in a reclined chair while we apply the gel and activate the LED lamp over 3 consecutive sessions
- The procedure is safe, non-invasive, and pain-free for most clients
- For sensitive teeth, we offer a desensitising gel to ensure comfort throughout your treatment
📸 Immediate Results
Most clients see a noticeable change straight away. However, results may vary depending on:
- Your original tooth colour
- The depth and type of stains
- Lifestyle factors (such as smoking, coffee, wine, etc.)
🧃 Aftercare Tips
To get the most from your results, please follow these guidelines:
- Avoid coloured foods and drinks for 24–48 hours (e.g. coffee, red wine, curries)
- Drink only water or clear fluids during this time
- Avoid smoking immediately after treatment
- Brush gently with a white or sensitive-friendly toothpaste
Your teeth are more porous after whitening, so avoiding stain-causing foods and drinks right away helps lock in results.
💬 Still Have Questions?
We’re always happy to answer any questions before or after your treatment.
📩 Email: lighterbrightersmiles@gmail.com
📲 Instagram DM: @donnamurraymakeup
💖 Your Confidence Starts With Your Smile
We’re here to make your experience relaxing, safe, and effective — because everyone deserves a lighter, brighter smile.

Before & After our triple whitening treatment


Before & After
We’re here to make your experience relaxing, safe and effective- because everyone deserves a lighter, brighter smile.